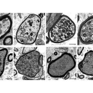
Multiple Sklerose: Myelin kann Überleben der Nervenfasern bedrohen
Die Multiple Sklerose (MS) betrifft weltweit Millionen von Menschen und bisher ist keine Heilung dieser Erkrankung des zentralen Nervensystems möglich. Die Beschädigung von Nervenfasern, auch Axone genannt, ist verantwortlich für die Erkrankungsschwere von Patient*innen und den Verlauf der MS. Die Schutzschicht der Axone, das Myelin, spielt dabei eine Schlüsselrolle und




